Instalab
Coronary Calcium Scan
Scanning the arteries in your heart for calcium buildup. This calcium is a sign of plaque, which can narrow or block your arteries, increasing your risk of a heart attack.

"The CAC scan is one of the most underused but most powerful tools available for long-term heart health and prevention. It should be a standard screening test, much like colonoscopies, mammograms, or pap smears. We routinely screen for those conditions because they can develop silently over time. Heart disease is no different."
Dr. Steven Winiarski
Dr. Steven Winiarski
Clinical Lipidologist, Longevity Medicine
How It Works
The Scan: Measuring Calcified Plaque in Minutes
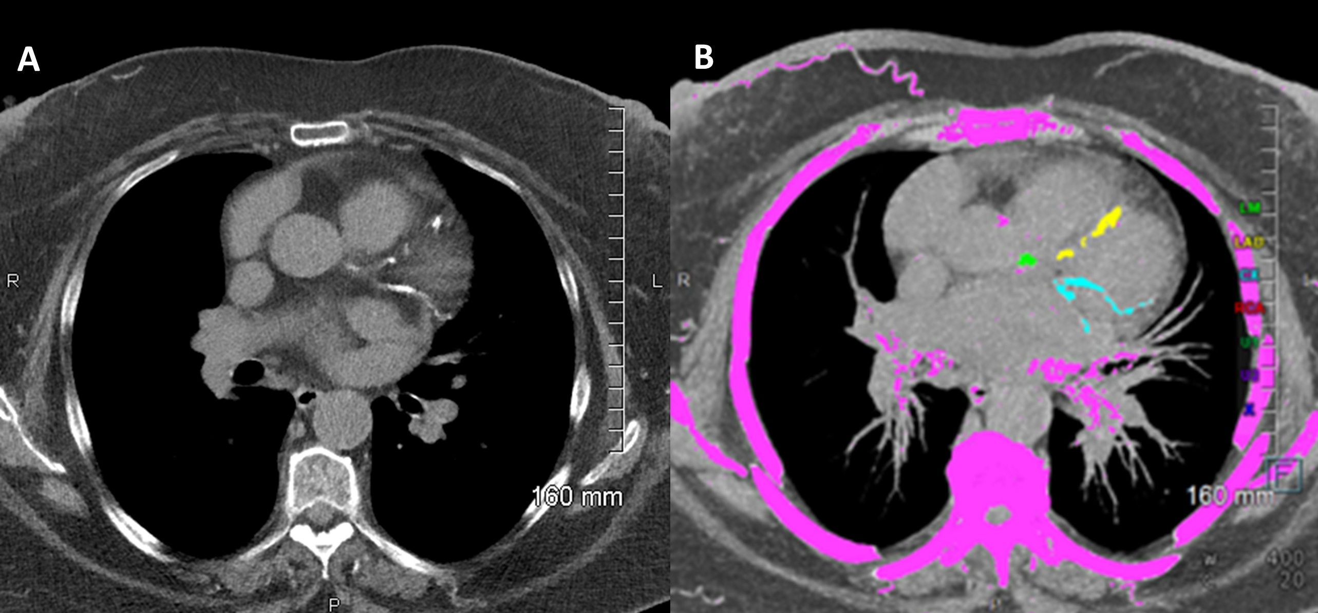
A coronary artery calcium (CAC) scan is a fast, non-invasive test that detects calcium buildup in the arteries of your heart—an early indicator of atherosclerosis and your future risk of heart disease.

The Scan: Measuring Calcified Plaque in Minutes
Image Analysis: Understanding Your CAC Score
Once your scan is complete, the images are analyzed to calculate your Coronary Artery Calcium (CAC) score—a numerical value that reflects the total amount of calcified plaque in your coronary arteries.

Image Analysis: Understanding Your CAC Score
Pricing
We'll help you find the most convenient and affordable testing location near you and handle the appointment scheduling. Enter your location below to search our database.
Coronary Calcium Scan | Instalab